Blog
ブログ
- トップ
- ブログ
- 2026/05/15 「最近むせる」「硬いものが食べにくい」…それ、オーラルフレイルかもしれません
こんにちは、静岡市駿河区の小嶋デンタルクリニックです。 「最近、食事中によくむせるようになった」 「昔より硬いものを避けるようになった」 「滑舌が悪くなった気がする」 このような小さな変化、年齢のせいだと思っていませんか … 続きを読む 「最近むせる」「硬いものが食べにくい」…それ、オーラルフレイルかもしれません
→ 続きを見る
- 2026/05/08 舌が痛い…それ、本当に「口内炎」だけでしょうか?
舌がヒリヒリする」 「食事でしみる」 「舌の横がずっと痛い」 このような“舌の痛み”を主訴に来院される患者様は意外と多くいらっしゃいます。 ただし、舌の痛みというのは実は原因が非常に多岐にわたります。 単純な口内炎だけで … 続きを読む 舌が痛い…それ、本当に「口内炎」だけでしょうか?
→ 続きを見る
- 2026/05/06 予防歯科はどれぐらいの頻度で通うべき? 〜歯科医院で行う「本当のメインテナンス」とは〜
こんにちは、静岡市駿河区石田の小嶋デンタルクリニックです。 「歯が痛くなったら歯医者へ行く」 以前はこの考え方が一般的でした。 以前の多くの歯科医院では、予約制は存在せず治療が必要な方だけ治療をしていくスタイルでしたが … 続きを読む 予防歯科はどれぐらいの頻度で通うべき? 〜歯科医院で行う「本当のメインテナンス」とは〜
→ 続きを見る
- 2026/04/24 顎関節症のタイプ別分類と症状|適切な治療の考え方
こんにちは、静岡市駿河区石田の小嶋デンタルクリニックです。 「口が開かない」「顎が痛い」「カクカク音がする」 こうした症状で来院される患者様の多くが、いわゆる顎関節症に該当します。 ただし一言で顎関節症といっても、原因や … 続きを読む 顎関節症のタイプ別分類と症状|適切な治療の考え方
→ 続きを見る
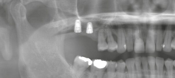
- 2026/04/10 「ノンフラップインプラントの適応とは?メリットと注意点を解説」
こんにちは、静岡市駿河区石田の小嶋デンタルクリニックです。 本日はインプラント治療における「ノンフラップオペ」について解説します。 インプラント治療と聞くと、「歯ぐきを切開する手術」をイメージされる方が多いかもしれません … 続きを読む 「ノンフラップインプラントの適応とは?メリットと注意点を解説」
→ 続きを見る
- 2026/03/27 抜く?抜かない?インプラントにする?前歯が折れたときの治療選択
こんにちは、静岡市駿河区石田の小嶋デンタルクリニックです。 前歯が折れてしまい、「抜歯が必要」「インプラントを勧められたが高額で迷っている」と相談に来られる患者様は少なくありません。 特に両隣の歯が健全な場合、「削りたく … 続きを読む 抜く?抜かない?インプラントにする?前歯が折れたときの治療選択
→ 続きを見る
- 2026/03/13 サイナスリフトとインプラントの同時埋入 〜抜歯即時インプラント・即時負荷という選択肢〜
こんにちは、静岡市駿河区石田の小嶋デンタルクリニックです。 本日は「骨が少ない場合のインプラント治療」について解説します。 インプラント治療を希望される患者様からよくある相談の一つが、 「骨が少ないと言われたのでインプラ … 続きを読む サイナスリフトとインプラントの同時埋入 〜抜歯即時インプラント・即時負荷という選択肢〜
→ 続きを見る
- 2026/03/09 前歯を含めたインプラント治療 〜抜歯即時インプラント・即時負荷という選択肢〜
こんにちは、静岡市駿河区石田の小嶋デンタルクリニックです。 本日ご紹介するのは、前歯の動揺を主訴に来院された患者様のケースです。 以前から保存が難しい「ホープレス」と判断されていた歯でしたが、できるだけ歯を残したいという … 続きを読む 前歯を含めたインプラント治療 〜抜歯即時インプラント・即時負荷という選択肢〜
→ 続きを見る
- 2026/02/27 安心・安全な診療環境づくり ― 当院のセキュリティカメラ運用について
こんにちは、静岡市駿河区石田の小嶋デンタルクリニックです。 本日は症例のご紹介ではなく、当院の「院内体制」についてお話しします。 小嶋デンタルクリニックでは、10年前より院内にセキュリティカメラを設置しています。 設置場 … 続きを読む 安心・安全な診療環境づくり ― 当院のセキュリティカメラ運用について
→ 続きを見る
- 2026/02/20 インプラント前に抜歯は早いほうがいい?感染がある歯を放置するリスクと「抜歯即時埋入」の条件
こんにちは、静岡市駿河区石田の小嶋デンタルクリニックです。 「インプラントを考えているけれど、この歯は今すぐ抜くべきか。それとも少し様子を見ても大丈夫か?」 外来で非常によくいただく質問です。 結論から言えばケースバイケ … 続きを読む インプラント前に抜歯は早いほうがいい?感染がある歯を放置するリスクと「抜歯即時埋入」の条件
→ 続きを見る


054-654-1020
Web予約