症例
ブログ
- 2025/12/20 対合歯がない親知らずが、頬を傷つけることがあります
こんにちは、静岡市駿河区石田の小嶋デンタルクリニックです。 「上の親知らずが痛む」という訴えで来院された患者さんがいらっしゃいました。 診察すると、親知らず自体に大きな虫歯はなく、挺出してきた親知らずが頬の内側を傷つけて … 続きを読む 対合歯がない親知らずが、頬を傷つけることがあります
→ 続きを見る
- 2025/12/10 「インプラントは意外と細い?──天然歯との幅径ギャップの話」
こんにちは、静岡市駿河区石田の小嶋デンタルクリニックです。 インプラント治療の相談で多いのが、 「インプラントって本来の歯より小さいんですか?」 という質問。 今日は “幅径(直径)” にフォーカスして、その違いとケアの … 続きを読む 「インプラントは意外と細い?──天然歯との幅径ギャップの話」
→ 続きを見る
- 2025/11/21 上顎洞に「丸い影」?典型的な粘液貯留嚢胞について
こんにちは、静岡市駿河区石田の小嶋デンタルクリニックです。 今日は久しぶりに来院された患者さんの定期検診。 パノラマレントゲンを撮影したところ、左側の上顎洞内にドーム状の不透過像が映り込みました。 患者さん自身はとてもお … 続きを読む 上顎洞に「丸い影」?典型的な粘液貯留嚢胞について
→ 続きを見る
- 2025/11/18 上顎の骨が少ないケースに対するインプラント治療計画
— クレスタルアプローチと段階的な骨造成 —
こんにちは、静岡市駿河区石田の小嶋デンタルクリニックです。 本日は 右上の欠損部(15・16部)へのインプラント治療を希望された患者様のケースをご紹介します。 上顎は構造上、 「上顎洞」という大きな空洞が近接しているため … 続きを読む 上顎の骨が少ないケースに対するインプラント治療計画
→ 続きを見る
— クレスタルアプローチと段階的な骨造成 —
- 2025/10/22 歯を失ったまま放置するとどうなる?
――「歯の挺出」にご注意を
こんにちは、静岡市駿河区石田の小嶋デンタルクリニックです。 抜歯をしたあと、 「とりあえず痛くないからこのままでいいや」と思っていませんか? 実は、歯を失ったまま長期間放置してしまうと、 お口の中では静かに“歯の移動”が … 続きを読む 歯を失ったまま放置するとどうなる?
→ 続きを見る
――「歯の挺出」にご注意を
- 2025/09/11 下の前歯にできた嚢胞(のうほう)と治療について
こんにちは、静岡市駿河区石田の小嶋デンタルクリニックです。 主訴 右下の前歯付近に痛みと腫れぼったさを感じ、噛むと違和感があるとのことで来院されました。 診査・診断 パノラマレントゲンを撮影すると、広い範囲に嚢胞(のうほ … 続きを読む 下の前歯にできた嚢胞(のうほう)と治療について
→ 続きを見る
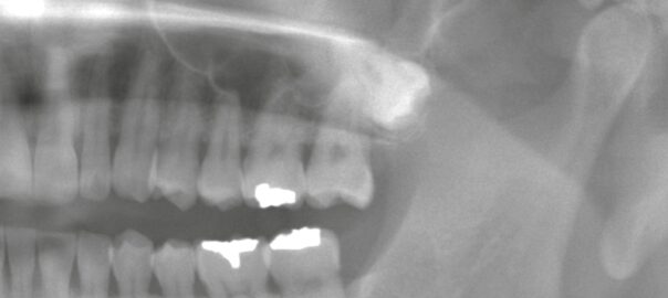
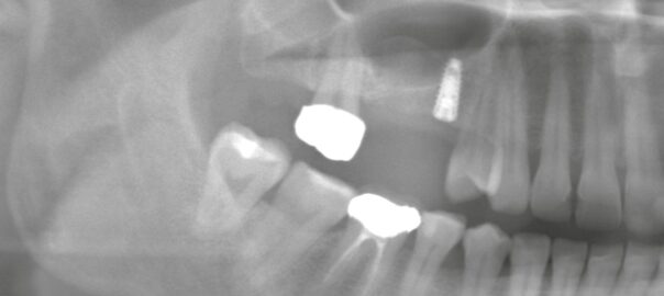
- 2025/09/10 ブリッジからインプラントへの移行 ― 右下臼歯の症例
こんにちは、静岡市駿河区石田の小嶋デンタルクリニックです。 本日は「ブリッジが破折した後にインプラントで咬合を回復したケース」をご紹介します。 ご来院の経緯 患者様は右下の奥歯に痛みを感じて来院されました。 確認すると、 … 続きを読む ブリッジからインプラントへの移行 ― 右下臼歯の症例
→ 続きを見る
- 2025/09/06 左下欠損による傾斜歯とインプラント治療
こんにちは、静岡市駿河区石田の小嶋デンタルクリニックです。 本日は「左下の欠損部における傾斜歯への負担から抜歯に至り、インプラントで再構築した症例」をご紹介します。 症例背景と主訴 患者様は左下の奥歯に強い痛みを訴えて来 … 続きを読む 左下欠損による傾斜歯とインプラント治療
→ 続きを見る
- 2025/09/05 前歯の治療選択 ― インプラントだけが正解ではありません
こんにちは、静岡市駿河区石田の小嶋デンタルクリニックです。 今日は、上の前歯の治療に関するケースをご紹介します。 抜歯が必要な状態に 前歯は見た目の印象を大きく左右するため、保存を最優先に考えます。しかし今回のケースでは … 続きを読む 前歯の治療選択 ― インプラントだけが正解ではありません
→ 続きを見る
- 2025/09/03 右上欠損に対するインプラントプランニング
こんにちは。静岡市駿河区の小嶋デンタルクリニックです。 本日は「右上の欠損部に対するインプラント治療のプランニング」についてご紹介します。 欠損部の状態とリスク 右上の欠損部をパノラマ撮影にて確認したところ、上顎洞との著 … 続きを読む 右上欠損に対するインプラントプランニング
→ 続きを見る


054-654-1020
Web予約