ブログ
抜く?抜かない?インプラントにする?前歯が折れたときの治療選択
2026/03/27
こんにちは、静岡市駿河区石田の小嶋デンタルクリニックです。
前歯が折れてしまい、「抜歯が必要」「インプラントを勧められたが高額で迷っている」と相談に来られる患者様は少なくありません。
特に両隣の歯が健全な場合、「削りたくない」という気持ちは非常に自然です。
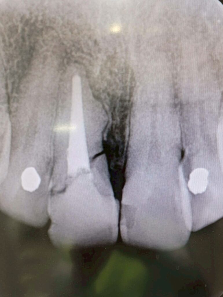
今回のケース

実際に確認すると、前歯に水平破折を認めます。
この状態では、長期的な予後を考えると抜歯+インプラント治療が第一選択になるケースが多いのは事実です。
しかし、ここで一度立ち止まるべきです。
「本当に他の選択肢はないのか?」
歯を残す選択肢「エクストルージョン(挺出)」
今回検討できる治療の一つが
エクストルージョン(挺出)です。
これは矯正的な力(MTM)を使い、
歯根をゆっくり引き上げる方法です。
治療の流れ
* 破折した歯冠部を除去
* 歯肉より下に残った歯根を確認
* MTMで歯根を徐々に牽引
* 歯肉上に適切な位置まで出したところで補綴(差し歯)
ただし、重要なリスクがあります
この方法で見落としてはいけないのが
歯冠ー歯根長比(クラウンルートレシオ)です。
歯は本来、
* 見えている部分(歯冠)
* 支えている部分(歯根)
のバランスが極めて重要です。
エクストルージョンを行うと
歯根の実効的な長さが短くなるため、
* 噛んだときに揺れやすい
* 強い力で再破折のリスク
* 長期的な安定性の低下
といった問題が生じる可能性があります。
では、この治療はやるべきか?
ここが戦略的なポイントです。
短期的に「歯を残したい」なら
→ エクストルージョンは有効な選択肢
長期的な安定性を最優先するなら
→ 抜歯+インプラントが合理的
実はインプラント前提でも意味がある
重要なのはここです。
エクストルージョンは
将来インプラントを行う場合にもメリットがあります。
理由
* 骨が一緒に引き上がる(骨造成効果)
* 歯肉ラインを整えやすい
* 審美性が向上しやすい
逆に、何もせず抜歯すると
* 骨が不足しやすい
* 骨造成が必要になる
* 歯肉ラインが崩れる可能性
といった問題が出てきます。
つまり
「すぐインプラント」よりも一段階挟むことで有利になるケースがある
ということです。
適応の見極めがすべて
以下の場合はエクストルージョンは適応外です:
* 垂直破折がある場合
* 感染(病巣)が強い場合
* 虫歯が深く歯質が残らない場合
この見極めを誤ると、
時間もコストも無駄になります。
まとめ
前歯が折れた場合の選択肢は大きく3つです:
* 抜歯してインプラント
* エクストルージョンで歯を残す
* 将来インプラントを見据えた前処置としてのエクストルージョン
重要なのは
「今どうするか」ではなく「最終的にどうしたいか」です。
「できる限り自分の歯を残したい」
「最終的な見た目と機能を重視したい」
どちらも正しい選択です。
その間にある戦略的な治療を提案できるかどうかが、
治療の質を大きく左右します。
コジデン理事長ブログ(様々なことをゆる〜く書いています)
→ https://ameblo.jp/kojima-dental
インプラント専門サイトはこちら
→ https://ryu-implant.net
監修歯科医師
-
医療法人社団GRIT 理事長
小嶋デンタルクリニック 院長
小嶋 隆三Ryuzo KOJIMA〔院長略歴〕
静岡市出身
鶴見大学歯学部卒 総合歯科
医療法人 麗歯会 加藤歯科医院 勤務
医療法人 UG会 多田歯科医院 勤務
医療法人 清明会 静岡リハビリテーション病院 非常勤 勤務
2013年 小嶋デンタルクリニック開設
2023年 医療法人社団GRIT 設立
2023年 コロンビア大学歯学部歯周病学分野所長兼准教授(1987-2015)、台北医科大学教授、学部長(2017-2023)ピーター・ワン先生の講座へ入局
2024年には、グローバルインプラントブランド「DIOインプラント」において、日本一の年間実績(症例数)を達成。
難症例や骨造成を伴うケースにも精通し、確かな診断力と精緻な技術で遠方からの患者も多く、信頼を集めている。
〔所属学会・所属団体〕
歯科医師臨床研修指導医
公益社団法人日本歯科先端技術研究所 インプラント認証医
BPS(精密義歯)クリニカル国際認定医
公益社団法人日本口腔インプラント学会
ISOI(国際口腔インプラント学会)
日本顎咬合学会
日本スポーツ歯科学会
日本抗加齢医学会
日本歯科医師会
静岡市歯科医師会 2020-2022 理事
静岡市介護認定審査委員 


054-654-1020
Web予約