Blog
ブログ

治療期間をどう考えるか

2025/08/05

こんにちは。静岡市駿河区にある歯科医院、小嶋デンタルクリニックです。
「できるだけ短い期間で治療を終えたい」——そう思われる方がほとんどかと思います。
実際に、「歯医者に行き始めると、治療が長引くから嫌なんだよね」とおっしゃる患者様も多くいらっしゃいます。

もちろん私たちも、治療はできるだけ早く終えたいと考えています。しかし、どうしても時間がかかるケースもあります。

ここで医科と歯科の治療の違いについて触れておきましょう。
医科の治療は、診断のうえで投薬が中心となることが多く、「薬が効くのを待つ」アプローチです。
一方で歯科治療は、「治す=処置を行う」ことが多く、虫歯であれば切削、インプラント治療では埋入や型取りなど、手を加える工程が必ず伴います。薬だけでは完結しない——それが歯科治療の特徴です。

時間的制約と治療計画の最適化

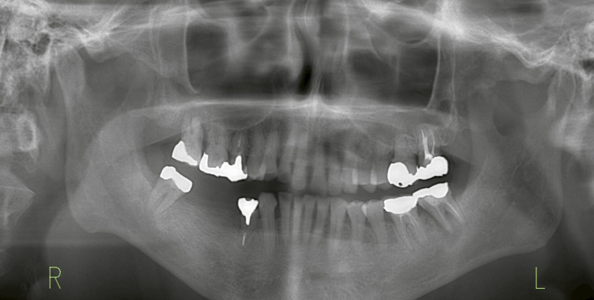
今回は「右下の腫れと排膿」を主訴に来院された患者様。
レントゲンの結果、歯根の状態が悪化し病巣が形成されており、抜歯が必要な状態でした。
患者様は、抜歯後にインプラント治療をご希望されていましたが、仕事の都合などで何度も通院するのが難しく、「できるだけ早く治療を終えたい」というご希望も。

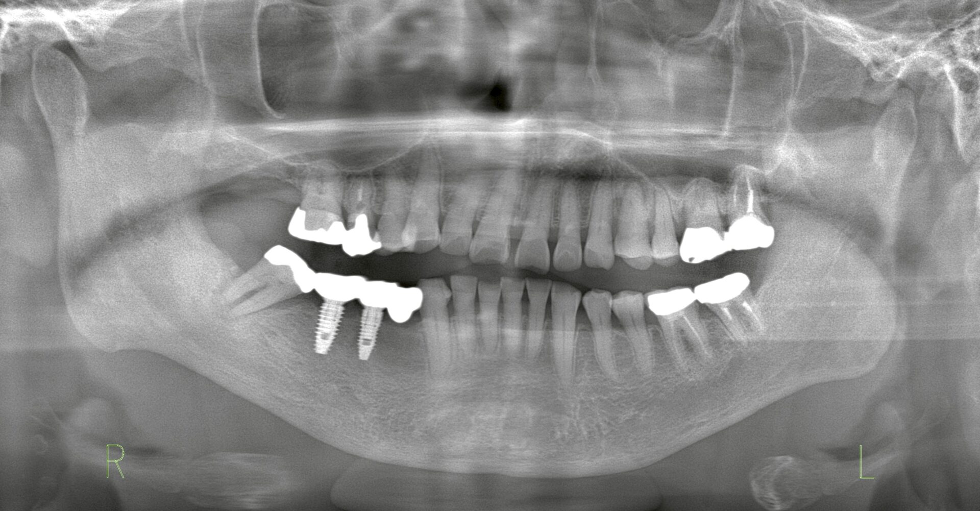
本来であれば、欠損している歯の位置(5番)と抜歯予定の位置(7番)に2本インプラントを埋入し、3本分のブリッジを計画するのが理想的です。
しかし、5番の治癒を待ってからインプラントを埋入するとなると、

抜歯後6ヶ月の治癒期間
埋入後3ヶ月の治癒期間
→ 計10ヶ月近くの治療期間が必要になります。
そこで今回は、治療期間の短縮を優先し、6番と7番の位置にインプラントを埋入し、延長ブリッジ(567相当)を製作するという方針を選択しました。
写真1:術前のレントゲン

写真2:埋入位置を変更したインプラント計画

この方法であれば、約3ヶ月で補綴まで完了でき、従来の方法に比べて約7ヶ月の短縮が可能となります。

治療期間とクオリティのバランス

治療期間を短縮する選択肢は確かに魅力的です。しかし私たちは、患者様にいつもこうお伝えしています。
「期間の短さよりも、“しっかりと治す”という意思と選択が大切です」
インプラントは一生使う可能性のある治療です。
であればこそ、時間をかけて理想的な治癒を待ち、必要に応じて骨造成や組織再生を丁寧に行う。
そのプロセスこそが、長期的に見て最も信頼できる治療につながります。
とはいえ、今回のように条件と希望に合わせて、合理的に治療期間を短縮するプランも可能です。
スケジュールや通院回数などでお悩みの方も、どうぞお気軽にご相談ください。


コジデン院長ブログ(日常のあれこれも綴っています)
→ https://ameblo.jp/kojima-dental
インプラント専門サイトはこちら
→ https://ryu-implant.net

監修歯科医師

医療法人社団GRIT 理事長
小嶋デンタルクリニック 院長

小嶋 隆三Ryuzo KOJIMA

〔院長略歴〕


静岡市出身
鶴見大学歯学部卒 総合歯科
医療法人 麗歯会 加藤歯科医院 勤務
医療法人 UG会 多田歯科医院 勤務
医療法人 清明会 静岡リハビリテーション病院 非常勤 勤務
2013年 小嶋デンタルクリニック開設
2023年 医療法人社団GRIT 設立
2023年 コロンビア大学歯学部歯周病学分野所長兼准教授(1987-2015)、台北医科大学教授、学部長(2017-2023)ピーター・ワン先生の講座へ入局
2024年には、グローバルインプラントブランド「DIOインプラント」において、日本一の年間実績(症例数)を達成。
難症例や骨造成を伴うケースにも精通し、確かな診断力と精緻な技術で遠方からの患者も多く、信頼を集めている。

〔所属学会・所属団体〕


歯科医師臨床研修指導医
公益社団法人日本歯科先端技術研究所 インプラント認証医
BPS(精密義歯)クリニカル国際認定医
公益社団法人日本口腔インプラント学会
ISOI(国際口腔インプラント学会)
日本顎咬合学会
日本スポーツ歯科学会
日本抗加齢医学会
日本歯科医師会
静岡市歯科医師会 2020-2022 理事
静岡市介護認定審査委員