右上サイナスリフト
カテゴリー/インプラント
右上サイナスリフト
| Details | Chief complaint 右上に痛みがあり噛めない |
|---|---|
| Treatment plan | 15/17歯根破折のため抜歯、15/17インプラント埋入 インプラントブリッジ |
| Treatment Details | 15/17 インプラント埋入と同時にサイナスリフト Total: ¥970,000 |
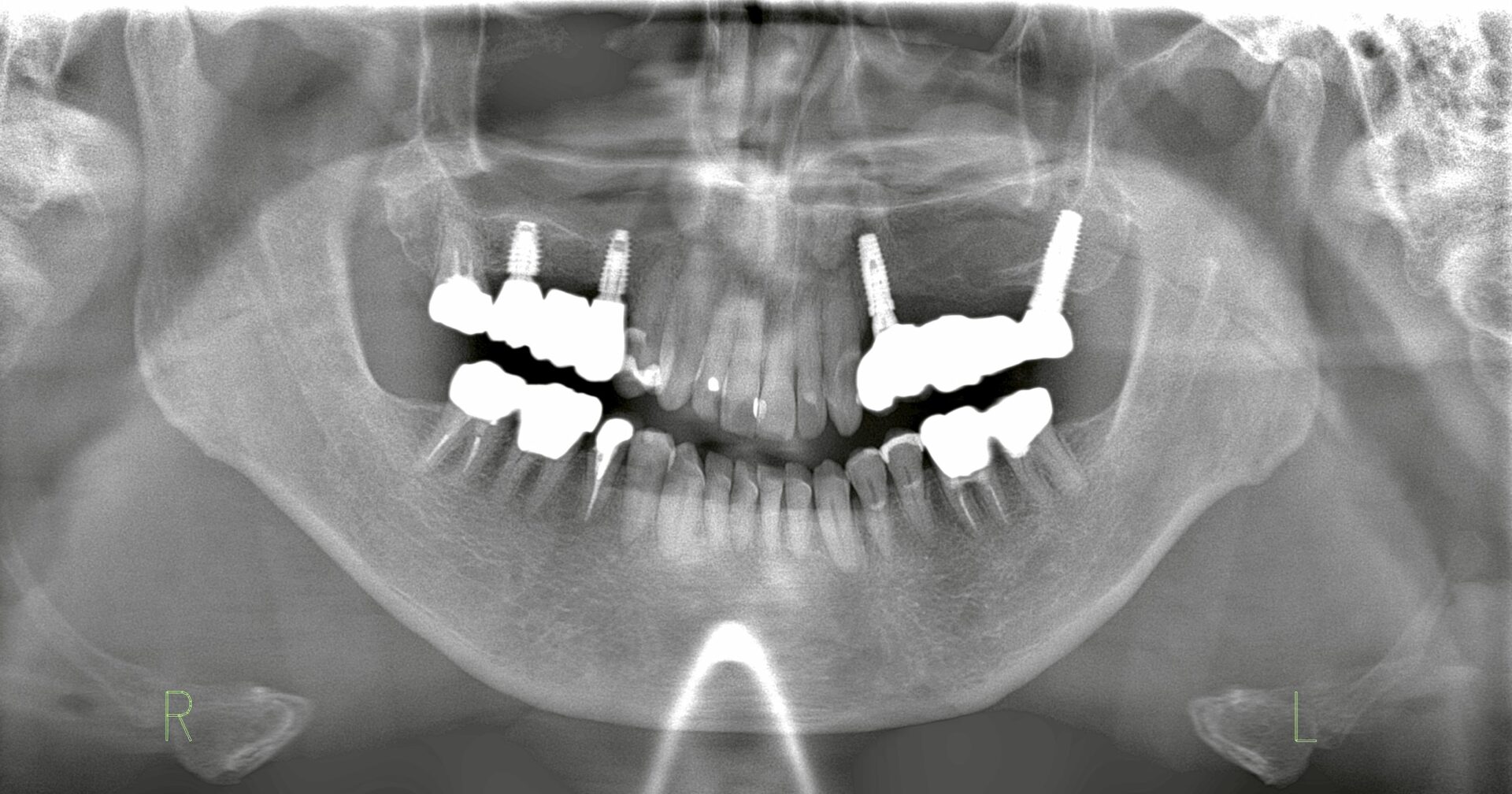
| 術前レントゲン写真 | ![]() |
| インプラント後レントゲン写真 | ![]() |
| 術後レントゲン写真 | ![]() |
| Consideration | 右上ブリッジは、歯根破折を認めるため抜歯を行った。その後骨の回復を待ってからインプラント治療を計画したが、上顎洞までの距離が短くサイナスリフトの必要性があった。既存骨は4mm認めるためサイナスリフトと並行し同時埋入を行った。5ヶ月の待機期間を経てブリッジ補綴へ。サイナスリフトはクレスタルアプローチテクニックで実施した。 |


054-654-1020
Web予約

