しっかり噛めなくなってきた
カテゴリー/インプラント
しっかり噛めなくなってきた
| 治療内容 | |
|---|---|
| Details | Chief complaint しっかり噛めなくなってきた |
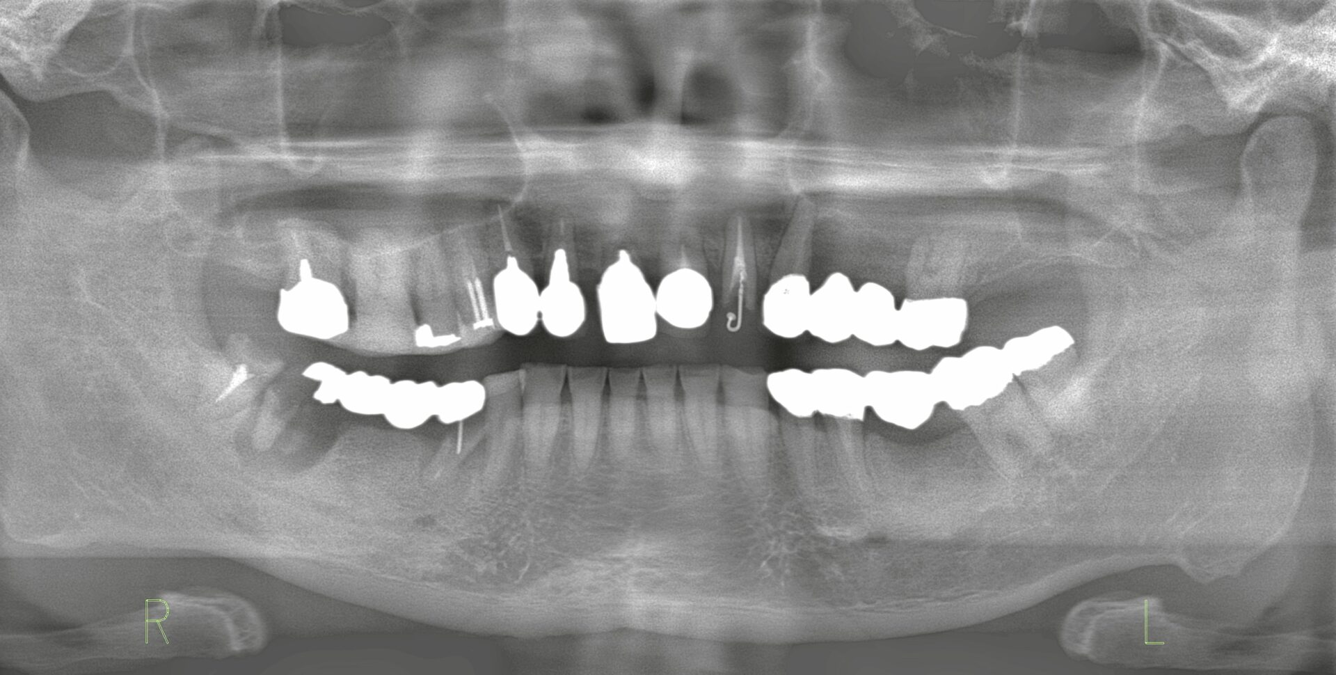
| 術前写真 |
|
| Treatment plan | 1. 不適合クラウンの除去 2. 右下保存不可部の抜歯+骨造成 → インプラント2本埋入 3. 上顎前歯部の抜歯 → インプラント4本埋入 4. 左下ブリッジの除去 → インプラント埋入 |
| Treatment Details (治療の詳細) |
患者様は強い咬合力を有しており、特に習慣的なウエイトトレーニングの影響から、食いしばりによる負担が著明でした。 そのため、 * 奥歯の崩壊に伴い前歯部へ突き上げが集中 * 前歯の歯根吸収および歯根破折を引き起こした 従来型のブリッジなどでは再度破折を招く可能性が高いため、インプラント治療による欠損補綴を選択しました。 補綴設計は、奥歯の咬合支持回復と前歯部の突き上げを分散することを目的としました。 |
| 術後写真 |
|
| Outcome (治療結果・QOLの変化) |
* 奥歯にインプラントを配置することで咬合支持を回復し、前歯部の突き上げ負担を軽減。 * 前歯部においてもインプラントを用いることで破折リスクを排除し、安心して咬合できる環境を獲得。 * 補綴はジルコニアを使用し、強度と審美性を両立。 * 患者は「しっかり噛める安心感」と「自然な見た目」に満足された。 * ただし予測不能な強い咬合力が想定されるため、スポーツ用マウスガードを作製し、トレーニング時の使用を推奨。 |
| Consideration (考察) |
本症例は、強い咬合力と習慣的な食いしばりが治療計画に大きな影響を及ぼした典型例である。 咬合力が過大な場合、従来の補綴では再破折や二次的な歯根吸収を繰り返すリスクが高いため、インプラント治療による咬合支持の分散は合理的な選択である。 一方で、インプラントは天然歯と異なり過大な力を逃がす歯根膜の緩衝機能が存在しないため、設計段階での咬合バランス調整が極めて重要である。特に本症例のようにウエイトトレーニングを行う患者では、咬合力が日常的に増幅されるため、補綴材質やマテリアル選択、さらにはマウスガードなど補助的な力のコントロールが不可欠となる。 今後は、定期的な咬合チェックとインプラント周囲組織の管理を行いながら、長期的な安定を図る必要がある。 |


054-654-1020
Web予約