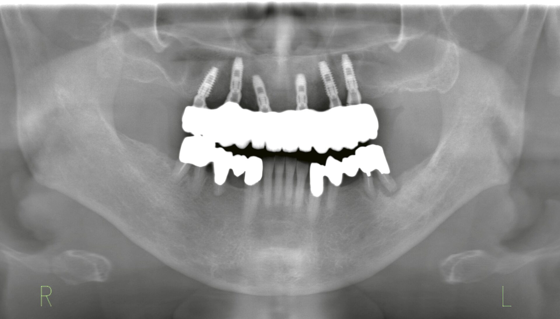
オールオン6による固定式ブリッジ
カテゴリー/インプラント
オールオン6による固定式ブリッジ
| 治療内容 | |
|---|---|
| Details | Chief complaint 上顎のブリッジが動揺して噛めない →抜歯後総義歯、義歯の違和感が強くてしんどい
|
| Treatment plan | オールオン6による固定式ブリッジを計画。即時荷重を前提とし、審美性・咀嚼機能・心理的安定を同時に回復することを目的としました。 |
| Treatment Details (治療の詳細) |
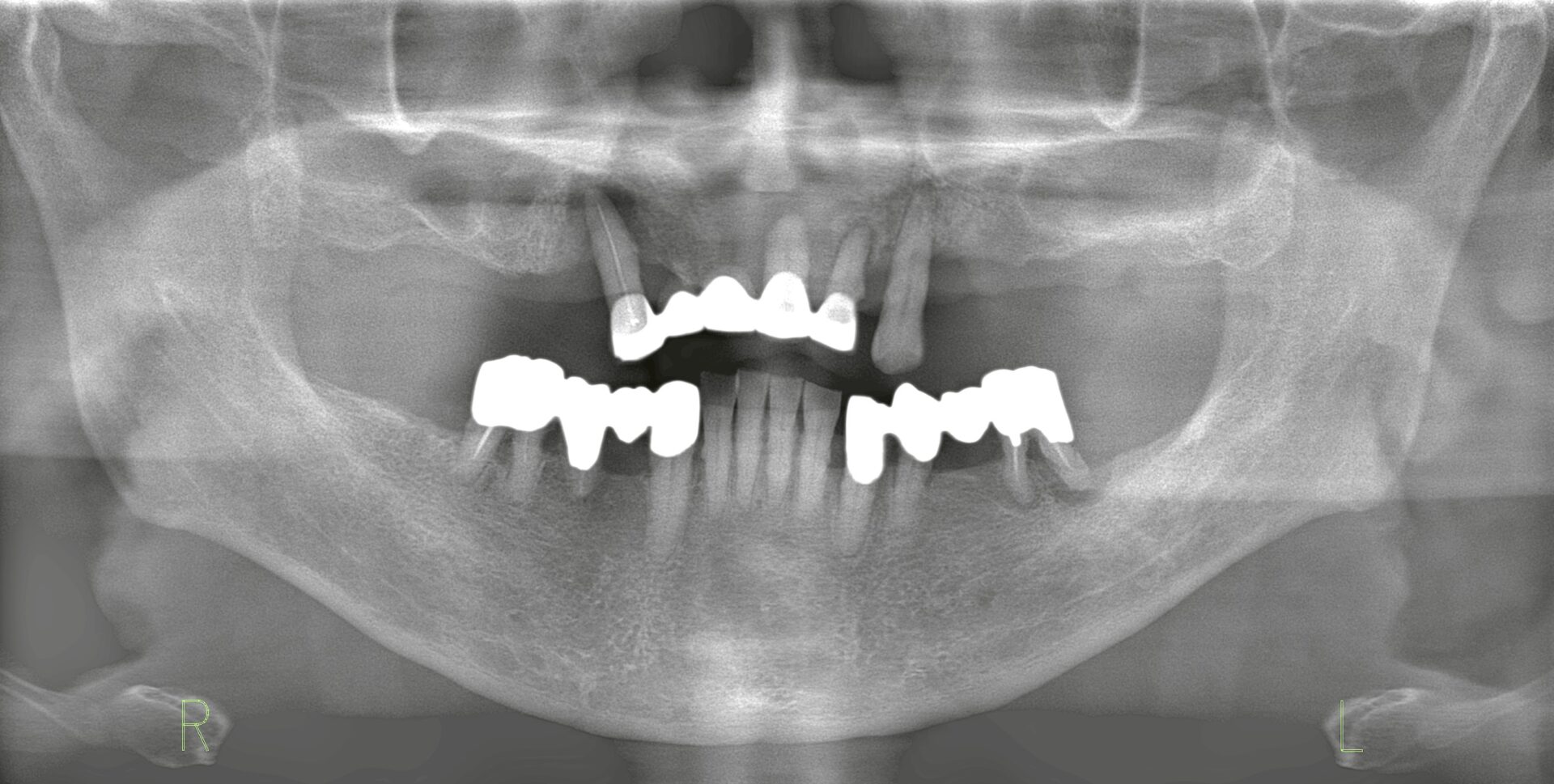
1. 初期治療(Day 0) ・インプラントを6本埋入。 ・そのうち5本で即時荷重による固定式の仮歯を装着。 2. 3ヶ月後 ・仮歯の交換を実施。咬合や形態を調整し、安定した機能と審美性を維持。 3. 6ヶ月後 ・骨造成部位の二次オペを実施。 ・最終補綴としてジルコニアベースのフルアーチブリッジを装着。長期的な耐久性と審美性を確保。
|
| Outcome (治療結果・QOLの変化) |
* 仮歯の段階から義歯特有の違和感が消失し、咀嚼機能は著しく改善。 * 食事や会話に対するストレスが軽減され、QOLは治療初期から劇的に向上。 * 最終的なジルコニアベースの補綴物は、高い強度と自然な審美性を兼ね備え、長期的な機能維持を見込める結果となりました。 |
| Consideration (考察) |
* 即時荷重の意義 インプラント埋入当日に固定式仮歯を装着することで、早期から咀嚼機能と心理的安定を回復できた。これにより、治療開始直後から患者様のQOL改善につながった。 * 骨造成と二次オペの同時実施 治療回数の削減と外科的負担の軽減を実現しつつ、長期的な骨支持とインプラント安定性を確保した。 * ジルコニアベース補綴の選択 強度・審美性・清掃性を兼ね備え、長期的に良好な予後が期待できる材料選択であった。 * 治療全体の計画性 即時荷重から最終補綴までの明確なタイムラインが設定されており、患者様にとっても治療プロセスの見通しが立ちやすく、安心感を持って治療を受けられた。 * トータル費用:オールオン6埋入から仮歯2つ、ジルコニア最終補綴まで含めて¥2,200,000 |


054-654-1020
Web予約