ブログ
右上欠損に対するインプラントプランニング
2025/09/03
こんにちは。静岡市駿河区の小嶋デンタルクリニックです。
本日は「右上の欠損部に対するインプラント治療のプランニング」についてご紹介します。
欠損部の状態とリスク
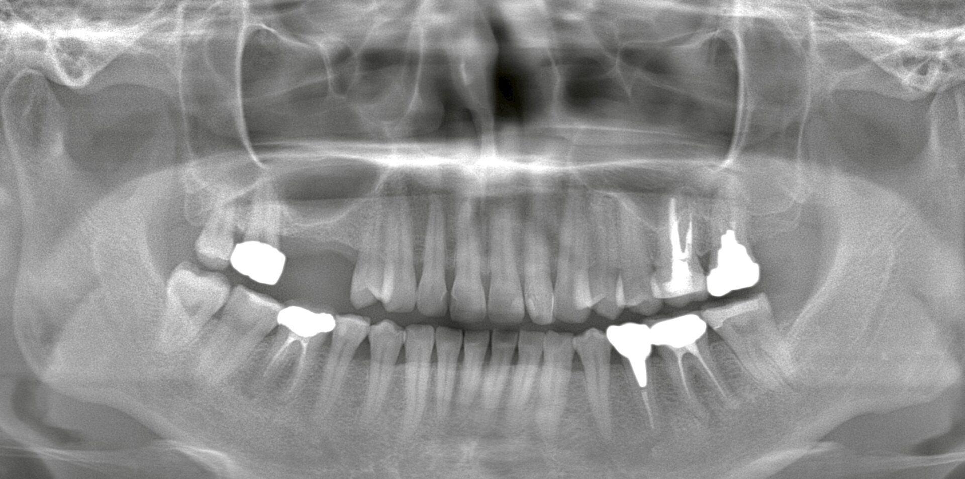
右上の欠損部をパノラマ撮影にて確認したところ、上顎洞との著しい近接が認められました。

このままインプラントを埋入すると、インプラント体が上顎洞内に迷入してしまうリスクがあります。
上顎洞を誤って穿孔してしまうと、以下のようなトラブルにつながる可能性があります。
* 慢性副鼻腔炎
* 上顎洞炎による腫脹や違和感
* インプラントの安定不良
そのため、十分な骨量の確保が欠かせません。
プランニングと治療ステップ
今回のプランニングでは、既存骨の厚みがわずか2mm弱の部分があり、骨造成(サイナスリフト)を行ってからのインプラント埋入が必要となります。
* 1本目:骨量が十分にある部位に、通常通りインプラント埋入
* 2本目:サイナスリフト後にインプラント埋入
このように、部位ごとに適切な方法を組み合わせて治療計画を立てています。

サイナスリフトとは?
サイナスリフトとは、骨の高さが不足している上顎臼歯部に対し、上顎洞粘膜を挙上して人工骨などを補填し、インプラント埋入に必要な骨量を確保する治療法です。
特に上顎奥歯では骨が薄いケースが多く、サイナスリフトは安全で長期的に安定したインプラント治療を行うために重要な手技となります。
当院の特徴
当院では、インプラント治療だけでなくサイナスリフトを含めた骨造成にも対応しております。
難症例であっても適切な診査・診断の上、安全で予知性の高い治療を提供しています。
上顎奥歯の欠損で「骨が薄いと言われてインプラントを断られた」方も、ぜひ一度ご相談ください。
コジデン理事長ブログ(様々なことをゆる〜く書いています)
→ https://ameblo.jp/kojima-dental
インプラント専門サイトはこちら
→ https://ryu-implant.net
監修歯科医師
-
医療法人社団GRIT 理事長
小嶋デンタルクリニック 院長
小嶋 隆三Ryuzo KOJIMA〔院長略歴〕
静岡市出身
鶴見大学歯学部卒 総合歯科
医療法人 麗歯会 加藤歯科医院 勤務
医療法人 UG会 多田歯科医院 勤務
医療法人 清明会 静岡リハビリテーション病院 非常勤 勤務
2013年 小嶋デンタルクリニック開設
2023年 医療法人社団GRIT 設立
2023年 コロンビア大学歯学部歯周病学分野所長兼准教授(1987-2015)、台北医科大学教授、学部長(2017-2023)ピーター・ワン先生の講座へ入局
2024年には、グローバルインプラントブランド「DIOインプラント」において、日本一の年間実績(症例数)を達成。
難症例や骨造成を伴うケースにも精通し、確かな診断力と精緻な技術で遠方からの患者も多く、信頼を集めている。
〔所属学会・所属団体〕
歯科医師臨床研修指導医
公益社団法人日本歯科先端技術研究所 インプラント認証医
BPS(精密義歯)クリニカル国際認定医
公益社団法人日本口腔インプラント学会
ISOI(国際口腔インプラント学会)
日本顎咬合学会
日本スポーツ歯科学会
日本抗加齢医学会
日本歯科医師会
静岡市歯科医師会 2020-2022 理事
静岡市介護認定審査委員 


054-654-1020
Web予約